L’Institut de Radiologie de Paris vient de s’équiper d’une IRM 3T de toute dernière génération. Il s’agit d’une IRM de haut champ magnétique, dite « 3T » (pour 3 Tesla, l’unité de densité du champ magnétique). Elle vient renforcer le plateau d’IRM de pointe déjà constitué de deux IRM de dernière génération, de champ magnétique habituel (1,5T), installées il y a deux ans sur son site dédié aux examens IRM, situé au 192 boulevard Haussmann.
Une plus grande précision

L’imagerie par résonance magnétique (IRM) utilise des champs magnétiques et des ondes radiofréquences afin d’obtenir des images en deux ou trois dimensions du corps humain. Elle permet d’explorer l’intérieur de l’organisme de manière indolore, non ionisante et sans effet nocif attendu (sauf rare contre-indication), pour pratiquement tous les organes. C’est l’examen le plus adapté pour visualiser les tissus mous.
A ce jour, il existe deux grandes catégories d’IRM : celles à champ magnétique standard (1,5T) et celles à haut champ (généralement 3T pour l’imagerie humaine). En fonction des cas, certains examens d’IRM sont plus performants sur une machine à 3T plutôt qu’une machine à 1,5T, aussi performants ou moins performants. L’IRM 7 Tesla reste, quant à elle, une machine utilisée dans des projets de recherche à ce jour.
Une IRM 3T permet d’augmenter l’intensité du champ magnétique, ce qui entraîne une augmentation proportionnelle du rapport signal/bruit et permet donc une augmentation du signal IRM. Cette augmentation de signal peut être exploitée de différentes manières et avoir plusieurs avantages : par exemple raccourcir le temps de l’examen avec un signal équivalent à celui d’un champ magnétique standard ; pour la même durée d’examen, permettre de choisir plus de résolution spatiale pour affiner l’analyse de petites structures ou d’anomalies ; ou encore explorer dans de meilleures conditions un phénomène dynamique, par exemple la vascularisation cérébrale.
L’objectif est de faire bénéficier nos patients des dernières avancées technologiques en fonction de leurs besoins. L’IRP entend ainsi conserver sa place de précurseur en imagerie au service des patients.
Une technologie de pointe, un confort amélioré
Notre dernière IRM est équipée de la solution Ingénia de Philips, avec une technique de numérisation du signal dans l’antenne pour optimiser au plus près le rapport signal/bruit. Le design de la machine est conçu pour améliorer le confort du patient grâce au tunnel de 70 cm de diamètre.
Elle est également équipée d’une plateforme digitale de dernière génération permettant d’accueillir les futures évolutions attendues en IRM. La technologie Compressed Sense permet une durée d’examen plus rapide, tout en optimisant la qualité d’image.
Enfin, la mise en service de cette 3e IRM permettra de raccourcir encore les délais de rendez-vous, particulièrement en cancérologie et en neurologie.
Nous avons sélectionné une équipe de secrétaires, manipulateurs et radiologues formés à cette nouvelle technologie, avec un objectif de spécialité et de qualité à chacune des étapes.
Mieux détecter les lésions
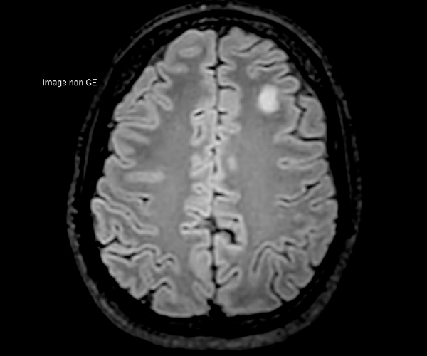
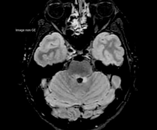
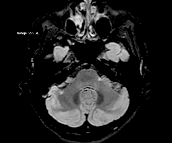
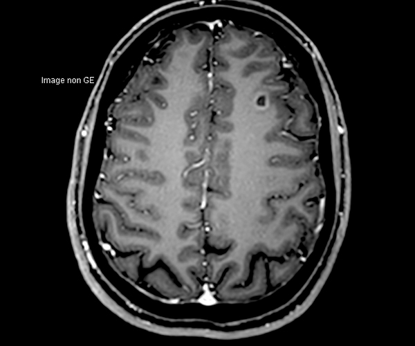
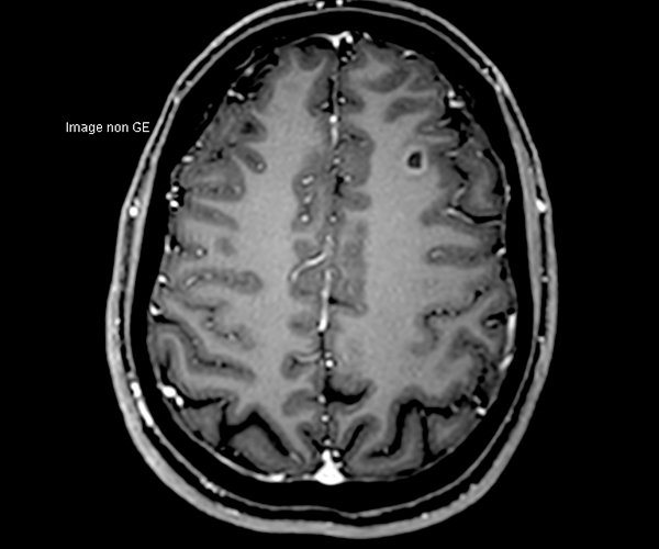
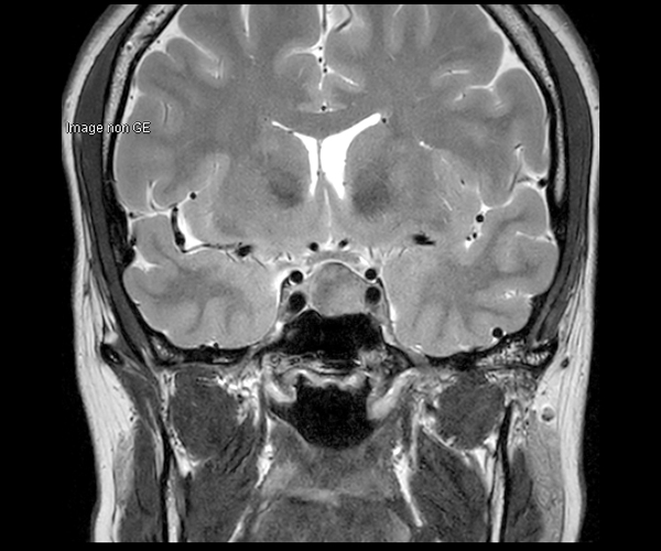
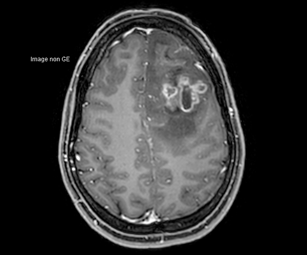
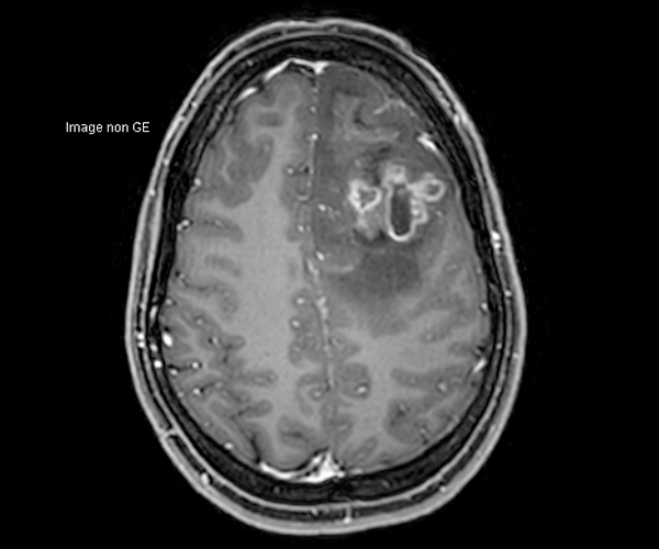
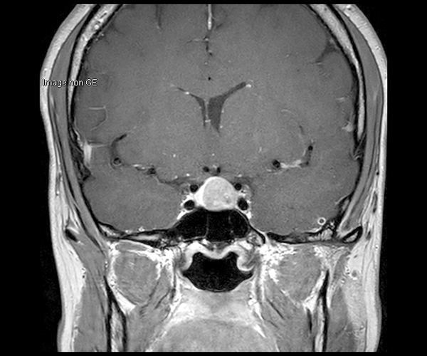
L’IRM 3T permet de mieux détecter certaines lésions. Son domaine de prédilection est l’imagerie du cerveau, de la prostate et l’étude des petites articulations.
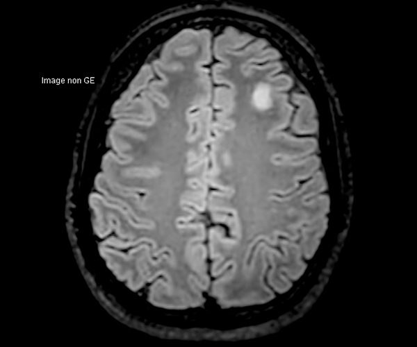
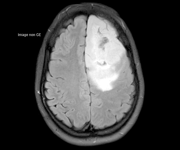
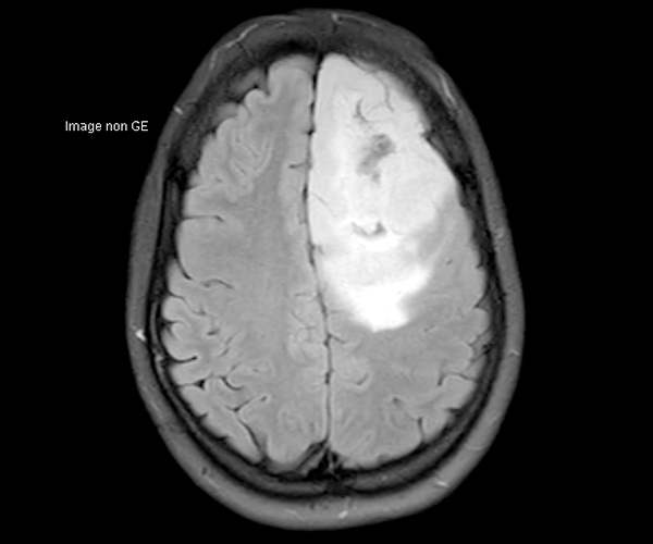
Concernant l’imagerie cérébrale, l’IRM 3T permet d’augmenter la sensibilité de détection de lésions ischémiques aiguës de petite taille, notamment chez les patients adressés pour accident ischémique transitoire (accident vasculaire cérébral), grâce à la séquence de diffusion dont le signal et la résolution sont augmentés.
L’amélioration de la résolution spatiale s’applique à l’exploration morphologique des hippocampes dans le diagnostic de la maladie d’Alzheimer, à la détection de petites lésions de sclérose en plaques ou de métastases, à l’étude fine du cortex dans les épilepsies.
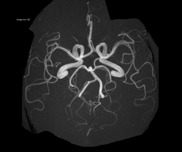
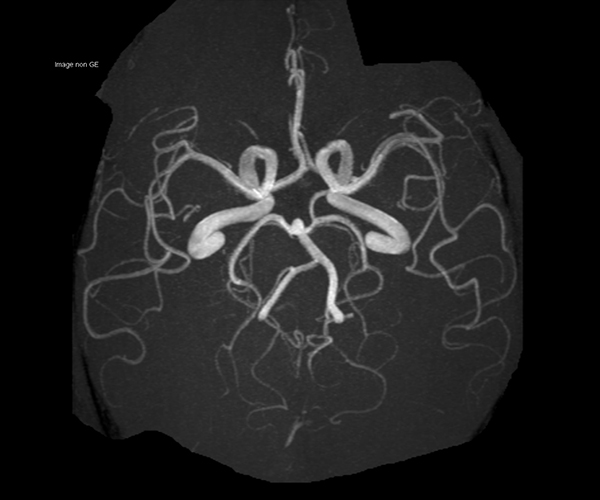
L’augmentation de l’effet de susceptibilité magnétique à plus haut champ permet d’améliorer la détection des hémorragies et est utilisé également dans l’imagerie de perfusion (tumeurs) et l’IRM fonctionnelle (BOLD). L’allongement du T1 à plus haut champ entraîne une meilleure saturation des tissus statiques et par conséquent une augmentation du contraste sang/tissus dans l’AngioIRM.
L’augmentation de l’effet de déplacement chimique contribue à une meilleure saturation de la graisse et à l’amélioration de la résolution spectrale de la séquence de spectroscopie (pathologie tumorale).
La séquence de perfusion par marquage des spins artériels (ASL) étudiant la perfusion cérébrale sans injection trouve pleinement son application à 3T dans la pathologie vasculaire, la caractérisation et le suivi post-thérapeutique des lésions tumorales, les démences et certaines pathologies psychiatriques.
Concernant la prostate, la puissance du champ permettra de s’affranchir dans la majorité des indications de l’utilisation d’une antenne endorectale.












