L’oncologie impose une parfaite maîtrise de l’anatomie mais surtout une excellente connaissance des différentes lésions tumorales et de leurs voies de dissémination qui leur sont propres.
L’imagerie cancérologique se situe au carrefour des différentes étapes de la maladie. Du diagnostic initial jusqu’à la surveillance, en passant par l’évaluation de l’extension et le suivi du traitement, l’imagerie oncologique impose une vision très stricte et sans faille pour garantir un traitement et un pronostic le plus favorable.
Les différentes modalités d’imagerie ont pour objectifs le diagnostic de la maladie (dans le cadre du dépistage par exemple), le guidage d’éventuels gestes de prélèvements et le « bilan d’extension » (recherche de métastases) afin d’organiser la prise en charge optimale.
L’importance de l’imagerie dans la prise en charge des cancers est telle que la présence d’un radiologue est obligatoire dans les Réunions de concertation pluridisciplinaires (RCP) se tenant dans les centres de lutte contre le cancer et au cours desquelles sont décidés au cas par cas les traitements. Lors de leur pratique hospitalière, les radiologues de l’Institut de radiologie de Paris participent régulièrement à ces réunions spécialisées.
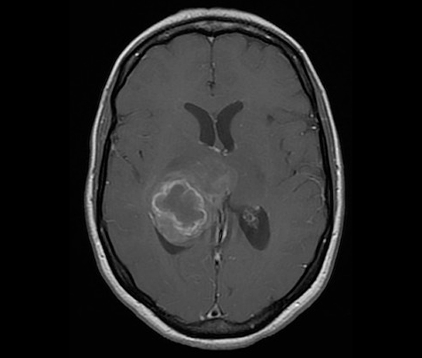
Les tumeurs dites « solides » dominent la pathologie tumorale. Il s’agit des tumeurs développées à partir des organes (cerveau, poumon, sein, foie, tube digestif, peau, etc.).
Certaines de ces pathologies font l’objet d’un programme de dépistage (sein, colon et rectum, prostate…), soit pour la population générale (selon des critères d’âge et de sexe notamment et selon des recommandations nationales ou internationales), soit dans le cadre d’une population sélectionnée dite « à risque » (selon des critères particuliers).
L’objectif du « dépistage » est de proposer au plus grand nombre la possibilité de se faire détecter précocement, donc un meilleur pronostic.
La mammographie ou la coloscopie virtuelle réalisées au sein de l’Institut de radiologie de Paris sont donc deux examens de dépistage ciblés sur la détection des pathologies tumorales du sein ou du colon-rectum.
La vocation première de ces examens de dépistage est d’être très sensibles de façon à ne pas méconnaître une pathologie suspecte d’être ou de devenir tumorale. Dans un second temps, un examen de diagnostic (un examen de caractérisation ciblée ou une ponction-biopsie) est réalisé pour porter définitivement un diagnostic de certitude de la maladie tumorale avant de débuter le traitement.
Les examens de routine (mammographie et échographie) mais aussi les examens plus pointus (scanner et IRM) sont des examens de dépistage performants dans différents secteurs et dans différentes tranches de population finement sélectionnées.
Ainsi, l’IRM mammaire est la modalité de choix de dépistage chez les patientes à très haut risque dans le cadre de prédisposition génétique.
Le dépistage occupe une place importante dans le domaine de l’imagerie du sein de l’Institut de radiologie de Paris, où nos spécialistes ont une très grande expérience du fait de leur activité passée ou actuelle au cœur des centres de lutte contre le cancer. Les médecins radiologues de la structure vous renseigneront plus précisément sur les modalités du dépistage adapté à votre situation personnelle.
Le diagnostic est différent du dépistage car c’est l’étape de caractérisation d’une tumeur et de sa dissémination.
La caractérisation repose le plus souvent sur l’IRM dont les différentes modalités (imagerie morphologique, multiparamétrique et dynamique) permettent au radiologue dans certains cas de porter un diagnostic de certitude sur la nature d’une lésion tumorale (nodule hépatique, masse rénale…) en appliquant des classifications et des critères reconnus et très stricts qui permettent de s’affranchir d’une biopsie.
De plus, l’IRM est souvent utilisée pour l’évaluation précise du bilan d’extension locale (envahissement tumoral des structures anatomiques adjacentes à la tumeur) et pour l’évaluation du bilan d’extension régionale (atteinte des ganglions dans les premiers relais de drainage).
Certaines techniques d’IRM (Bili-IRM, Uro-IRM, IRM rectale avec opacification…) améliorent encore les capacités d’évaluation loco-régionale de la maladie, permettant ainsi une planification thérapeutique plus précise (chirurgie, radiothérapie…) pour améliorer le pronostic.
L’IRM dédiée à un organe (sein, rectum, foie…) permet, selon certains protocoles, d’évaluer la réponse loco-régionale après une première ligne de traitement (par exemple la réponse tumorale après une chimiothérapie néo-adjuvante dans le cancer du sein ou la réponse tumorale après une radio-chimiothérapie néo-adjuvante dans le cancer du moyen ou du bas rectum).
Souvent réalisé conjointement à l’IRM, le scanner est la pierre angulaire du bilan d’extension de la maladie pour recenser les métastases (bilan d’extension dit « à distance »). Le scanner permet également de surveiller une maladie tumorale, pour documenter sa réponse au traitement (selon des critères spécifiques) ou dépister précocement une rechute de la maladie.
Les médecins de l’IRP, spécialisés en oncologie, vous renseigneront sur les bénéfices des différentes techniques d’examen à réaliser chez vous et seront à même de vous expliquer le schéma de surveillance radiologique de votre maladie (en accord avec l’équipe soignante qui vous prend en charge et avec les recommandations des différentes sociétés savantes).

Elles regroupent les tumeurs des différentes lignées sanguines (globules rouges, plaquettes, globules blancs…) et les tumeurs développées au sein des ganglions (lymphomes).
Ces maladies peuvent être découvertes en imagerie soit de manière fortuite devant une majoration de taille des ganglions, du foie ou de la rate (nombre de ces pathologies sont asymptomatiques), soit parce que le patient présentait des signes cliniques ou biologiques évocateurs ou des facteurs de risque.
L’échographie (cervicale ou abdominale) est un excellent examen pour la mise en évidence de ces pathologies en révélant des ganglions suspects ou une augmentation pathologique de la taille de certains organes. Si besoin, elle permet de guider un prélèvement avant analyse au microscope (ponction ou biopsie).
Le scanner et dans de rares cas l’IRM, servent à explorer l’étendue de la maladie et à surveiller sa réponse au traitement. C’est parce que la surveillance d’une lésion tumorale hématologique est tout à fait différente de la surveillance d’une maladie tumorale solide que l’Institut de radiologie de Paris a pris le parti de confier ce volet de la radiologie à des praticiens spécialisés dans ces domaines.












